Neuroimagem
Home Up

 

 

NEUROIMAGEM

 

    A compreensão e o tratamento da epilepsia têm sido revolucionados nas décadas recentes pelo desenvolvimento e utilização de técnicas de  neuro- imagem sofisticadas, as quais compreendem dois tipos principais.  A primeira é estrutural e objetiva encontrar uma anormalidade visível   da   estrutura cerebral, tal como um tumor. A segunda é  funcional    e   identifica qualquer anormalidade na função cerebral como hipo ou  hipermetabolismo   ou alterações nos níveis de neurotransmissores. Ambos os   métodos  estão       se desenvolvendo rapidamente, e, embora técnicas de neuroimagem estrutural, como a ressonância magnética (RM) em particular, constitua,  atualmente, a técnica de imagem mais importante na prática clínica,  seu papel relativo na investigação de pacientes com epilepsia altera-se continuamente. A eficácia destas novas técnicas de imagem tem  levado  `a redução  na proporção de pacientes com epilepsia generalizada,  favorecendo  a  origem parcial, bem como `a redução na proporção de pacientes com epilepsia  par-  cial que eram anteriormente rotulados como tendo crises criptogênicas.

 

 

NEUROIMAGEM ESTRUTURAL

    As duas formas principais de imagem estrutural são a  tomografia   com-   putadorizada ( TC ) e a ressonância magnética ( RM ). Radiografias  do   crâ-    nio e pneumoencefalogramas não são mais utilizados, embora a angiografia  seja ainda usada.

 

1.Tomografia computadorizada

    Há duas técnicas de TC usadas para o diagnóstico de epilepsia.   A primeira é a imagem de rotina, sem utilização de meio de contraste.  Podem ser   diagnostica-   das lesões expansiva grosseiras como tumores, acidentes   vasculares  cerebrais, malformações arteriovenosas ( MAV ) e ocasionalmente lesões infecciosas,  como    a cisticercose. A TC é sensível e relativamente específica para estas lesões, iden- tificando, aproximadamente 60%. Em   casos  de  resultados  negativos,  pode  ser administrado contraste, visando  aumentar  a  porcentagem   de  diagnósticos. No       entanto, a porcentagem de sucesso da TC em detectar lesões  em  epilepsia  parcial, é baixa ( ao redor de 30% ).

 

             2.Ressonância magnética

 

   A RM é atualmente o mais importante método de neuroimagem usado para pacientes com epilepsia. A RM produz uma   imagem do  cérebro  a  partir  de     rádio impulsos  característicos,  vistos  após  alterações induzidas   artificial- mente no campo magnético.A partícula chave da excitação é o íon hidrogênio da água.Alterações sutis no conteúdo da água tecidual resultam em alterações neste sinal de próton, as quais são  processadas  em  um   computador     para produzir uma imagem em preto e branco.

    A técnica é altamente sensível e específica  em  pacientes  com epilepsia parcial. Aproximadamente, podem  ser  identificados  100%   dos   pacientes    com lesões expansivas como tumores e MAV e, com o aumento da utilização da RM, patologias que se pensava  constituírem   causas  raras  de  epilepsia,    têm sido identificas mais freqüentemente.

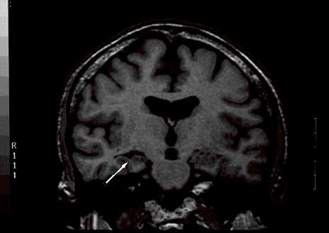
    Como exemplo, vê-se abaixo uma RM de um paciente com epilepsia do lobo temporal e esclerose mesitemporal (EMT) (seta).

Fig EMT:

                           wpe6.jpg (12486 bytes)

    Os estudos inicias de RM do lobo temporal em pacientes  com   epilepsia, mostravam que as duas principais características da EMT eram atrofia unilateral das estruturas hipocampais.

    A RM é o melhor método de neuroimagem disponível para avaliação de e- pilepsia. Ela apresenta melhor resolução espacial  do  que  a  TC,  possibilita     imagens excelentes da fossa temporal, as quais não são bem visualizadas pela TC e revela lesões que são isodensas na TC. Diferentemente da TC, não há exposição `a radiação, de tal forma que RM pode ser  utilizada  durante a gestação.

    Para decidir qual teste realizar, é essencial, primeiramente, determinar   as razões pelas quais o teste está sendo realizado. Imagem  tem  duas  funções: diagnóstico da causa subjacente para excluir uma lesão que possa ser tratada e determinação da cirurgia. Logo após o início das crises, ela  pode    ser necessária para excluir lesões que necessitam tratamento, como tumores ou MAV, ou para identificar uma lesão ressecável em um paciente  com crises refratárias que está sendo avaliado para cirurgia. Em ambas as situações, a RM é a modalidade preferida, embora a  TC  possa  ser  justificada quando uma lesão subjacente que será tratada está sendo  procurada,  pois        as porcentagens de identificação e a especificidade para  lesões  grosseiras        é razoavelmente elevada. A TC pode ser preferível para a  detecção  de  me-    ningeomas pequenos. Contudo, para a investigação pré-operatória, a TC não tem valor e o paciente deverá ser referido a um centro que tenha RM. 

Fig RM, superior, mostrando focos de   epilepsia  e  inferior,  esquema  tridi-     mensional:     

wpe7.jpg (28772 bytes)

 

 

NEUROIMAGEM FUNCIONAL

    A tomografia por emissão de pósitrons (Pósitron  emission  tomography- PET) avalia aspectos da função  cerebral.  Embora  ela  esteja   sendo  usada    desde há aproximadamente 20 anos, a RM é muito mais  útil  clinicamente       e a PET tem, somente um papel clínico desprezível. A  PET   cria uma imagem tridimensional do cérebro pela análise computadorizada do metabolismo de traçadores de radioisótopos específicos.